Transwell Biotech Co., Ltd.

Product for Cell Culture – Human Fetal Feeder (“HFF”) cells

Transwell Biotech Co., Ltd.
Transwell Biotech Co., Ltd.

The Product

The same characteristics that make TWB-103 capable of promoting wound healing can also facilitate growth of various types of cells in vitro. HFF is a unique “feeder cell” with the origin of human fetal dermal fibroblasts. HFF has been shown to dramatically promote the proliferation of primary human keratinocytes in culture. In addition to application in research, the future HFF is aimed at supporting the GMP manufacturing of therapeutic cells. TWB will fully support the HFF users in regulatory compliance.

HFF is under development now. The “Pre-GMP”- and “GMP”- grade products will be available commercially in the third quarter and fourth quarter of 2018, respectively.
Transwell Biotech Co., Ltd.

Major Specifications

Major Specifications of HFF
Cell Source

Human Fetal Dermal Fibroblast

Cell No.

1 x 106 cells/vial

Pre-Treatment

Mitomycin C

Cryopreservation Medium

DMSO based, containing FBS

Recovering Medium

Will attach and survive in most cell culture media

Storage

(long term) Vapor phase of liquid nitrogen
(short term) Freezer below -70℃

Transwell Biotech Co., Ltd.

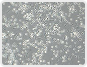
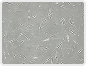
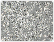
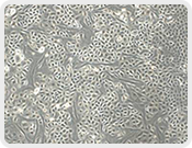
HFF keratinocytes

Figure 1: HFF can enhance replication of keratinocytes
Seeding density: HFF is 3000 cells/cm2
Keratinocyte is 2000 cells/cm2

Day 3
Day 5
Day 6
HFF
Transwell Biotech Co., Ltd.

Day 3

Transwell Biotech Co., Ltd.

Day 5

Transwell Biotech Co., Ltd.

Day 6

Keratinocyte
Transwell Biotech Co., Ltd.

Day 3

Transwell Biotech Co., Ltd.

Day 5

Transwell Biotech Co., Ltd.

Day 6

HFF& Keratinocyte
Transwell Biotech Co., Ltd.

Day 3

Transwell Biotech Co., Ltd.

Day 5

Transwell Biotech Co., Ltd.

Day 6